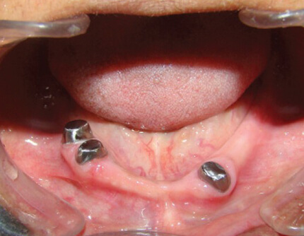
OVERDENTURE

The dentures are nothing but artificial teeth that are meant to replace missing teeth, and are placed on or balanced on the other teeth in the mouth. They are known as hybrid dentures or tooth-supported dentures. These dentures differ from overdentures where in the former is held in place by adhesives and in the latter they are supported by screws that are driven in to titanium dental implants that in turn rest on your jaw bone. However they look to be the same from the outside. These overdentures are made from acrylic, metal and some other durable materials.
Fixed Vs Overdenture: Both of them provide a crown and an artificial gum tissue. The only difference is that the former cannot be removed and the latter can be replaced and removed. The various types of dentures are full dentures, partial dentures and temporary dentures. The two types of dentures are complete and partial. The former is used when there are absolutely no teeth and the latter is used when there are some teeth in the mouth. Some advantages of overdentures are stability, ease of eating and talking, bone retention.